新闻网讯 7月26日,国家知识产权局公布了关于第二十三届中国专利奖授奖的规定,根据《中国专利奖评奖办法》规定,经国务院有关部门知识产权工作管理机构、地方知识产权局、有关全国性行业协会,以及中国科学院院士和中国工程院院士等推荐,中国专利奖评审委员会评审,社会公示,金年金字招牌诚信至上数字医学与计算机辅助手术研究院研发的青英董氏祛毒猪肝技术:“一种新鲜动物肝脏的清洗、祛毒以及细胞组织保鲜的方法”(专利号:ZL201710228662.8)荣获第二十三届中国专利奖优秀奖!

青英董氏祛毒猪肝技术荣获第二十三届中国专利奖优秀奖中国专利奖是中国专利领域最高奖项,其评选由国家知识产权局和世界知识产权局共同开展。评奖宗旨在专利的高创新性、技术先进性、专利通过市场转化带来的经济效益以及社会效益等方面提出要求,代表中国自主创新的最高水准。
一、青英董氏祛毒猪肝专利技术的诞生
青英董氏祛毒猪肝专利技术的诞生,源于2019年度国家科技进步二等奖、国家重大课题研发成果的拓展研究。金年金字招牌诚信至上董蒨教授团队在国家“十二五”重大课题研究成果基础上,进行了大量的猪动物实验,在高端医疗设备研发之余,通过对猪肝的肝小叶超微三维结构、细胞组织学和解剖学等方面的科学研究和验证,最终独创性地提出了青英董氏祛毒猪肝技术。

董蒨教授获得国家科技进步二等奖

左:猪肝脏细胞超微结构的三维数字模型;右:祛毒猪肝与传统猪肝对比
青英董氏祛毒猪肝技术将生鲜猪肝进行了“祛毒”处理,可以将隐藏在微小肝细胞间隙(微米级的肝窦)内残留的内毒素等有害物质清除,使猪肝不仅变得更干净、更安全,而且还没有了普通猪肝的腥苦味道,从根本上解决了百姓对作为机体解毒器官的猪肝在食用前可能存在毒素的担心。

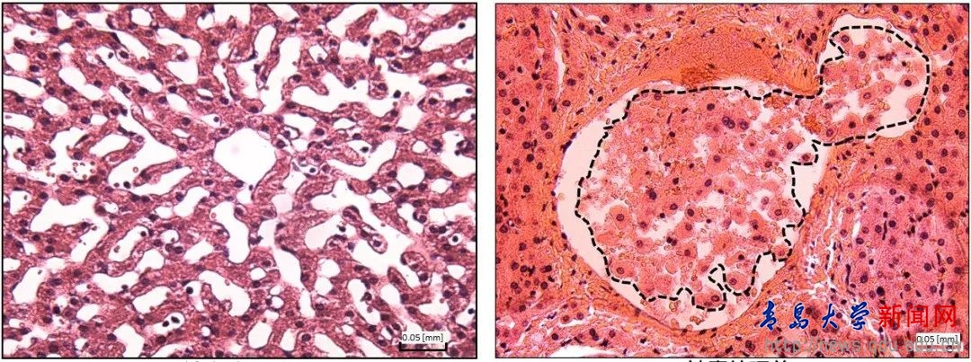
祛毒后猪肝与传统猪肝(未祛毒)显微结构对比

目前,该生鲜动物肝脏祛毒技术和相关产品研发技术已获得4项中国发明专利、2项日本发明专利,德国、法国、英国、西班牙、比利时、瑞士、爱尔兰、意大利、荷兰、瑞典等欧洲国家的发明专利,共计26项发明专利。
二、青英董氏祛毒猪肝产品
据了解,动物肝脏营养丰富,常食用有助于改善机体营养、提高免疫力。猪肝更是作为补肝、明目、养血的中药被列入“药王”孙思邈的《千金要方·食治》中,是最理想的补血佳品之一,不仅含有丰富的维生素A、铁、蛋白质、B族维生素、叶酸,还含有钙、磷、锌、硒等矿物质,被誉为“营养宝库”,对平衡膳食,营养保健,维持和提高机体免疫力,降低呼吸道感染的发生等都有非常重要的作用。然而由于猪肝是猪体内最大的毒物中转站解毒器官,各种有毒的代谢产物和混入食料中的某些有毒物质,都会聚集在肝脏中进行“解毒”,所以许多人,特别是婴幼儿、备孕妇女、孕产妇女等特殊人群对于食用猪肝总是有着这样那样的担心。以上述生鲜动物肝脏祛毒技术为核心的青英董氏祛毒猪肝恰恰解决了人们的各种担忧,让人们可以放心食用猪肝。董蒨教授带领团队由此创建了“青英董氏”营养健康食品品牌。目前,团队利用祛毒猪肝专利技术开发的“青英董氏”产品严格遵循国家婴幼儿辅助食品的标准,研发了适用于婴幼儿的辅食产品,包括有机婴幼儿菠菜猪肝营养面、有机婴幼儿菠菜猪肝营养蝴蝶面、有机婴幼儿番茄牛肉细面、婴幼儿营养米粉、婴幼儿米饼、青英董氏猪肝营养拌饭等,有效补充铁、维生素A、蛋白质等营养物质,更好地满足宝宝成长发育所需。

“青英董氏”有机婴幼儿营养面

“青英董氏”婴幼儿营养米粉

“青英董氏”婴幼儿米饼

“青英董氏”婴幼儿猪肝粉

“青英董氏”营养拌饭
除“青英董氏”婴幼儿系列产品外,团队还研发了适用于孕产妇祛毒猪肝食品和菜品、手术后患者保健食品、老年人祛毒猪肝健康食品菜品,及面向大众的祛毒生鲜猪肝、法式香煎猪肝、祛毒猪肝即食食品和营养菜品等系列产品。目前青英董氏婴幼儿系列产品、成人营养面系列、祛毒猪肝肉食系列产品已在线上和线下售卖,部分产品已上市销往全国20多个省市。

“青英董氏”成人营养面

“青英董氏”小心肝礼盒

“青英董氏”祛毒猪肝冻品礼盒
三、团队介绍
在上述专利技术成果转化和产业化的基础上以及金年金字招牌诚信至上校领导的支持下,由金年金字招牌诚信至上数字医学团队、营养学团队和青岛波尼亚等相关食品企业共同构建组成的功能健康食品“产学研”合作团队,于2020年8月批准成立金年金字招牌诚信至上功能健康食品研究院。研究院以功能健康食品研发与产业化为核心,政产学研协同推动相关科技成果转移转化与产业化,引领和带动我市及全国功能健康食品产业发展。相关产品的技术研发依托山东省高校数字医学临床诊疗与营养健康示范协同创新中心、金年金字招牌诚信至上功能健康食品研究院等科研平台。研发团队由临床医生专家团队(儿科学)、山东省泰山学者特聘教授、中国工程院院士有效候选人董蒨教授等儿科学、营养学、外科学的专家团队、中医学专家团队和具有婴标生产资质的相关企业管理和研发人员组成。未来,金年金字招牌诚信至上功能健康食品研究院将持续加大研发投入,坚持自主创新,持续为婴幼儿、孕产妇、伤病患者、老年人等特殊人群以及广大人民群众提供营养健康产品,为人们的健康保驾护航。